What is ataxia?
The word Ataxia comes from the Greek and means “without order.” Ataxias are a group of disorders that affect balance, coordination, and speech. Common symptoms include imbalance while walking, falls, change in speech, tremors, and difficulty with fine motor activities. Diseases of the brain (cerebellum), vision, inner ear, and peripheral nerves can cause unsteadiness and balance problems. Your doctor will examine you to determine if ataxia is caused by dysfunction of the brain, spinal cord, or nerves. The most common area of the brain responsible for ataxia is the cerebellum.
What are the common causes of ataxia?
What are the symptoms of patients with ataxia?
How is ataxia diagnosed?
Ataxia is usually diagnosed clinically by your doctor upon taking history (including family history), and examining the patient physiologically. If necessary, your doctor may order certain diagnostic tests including:
What are treatment options available for ataxia?
Treatment of ataxia or balance problem depends upon its cause. Many conditions causing ataxia or balance problem are treatable provided a diagnosis is made early in the disease. Treatment may be possible for certain vitamin deficiency, tumour, autoimmune and metabolic disease. Some genetic ataxias may have a specific vitamin or drug treatment. If the ataxia is due to drugs or toxins, stopping the exposure to that agent may improve the ataxia.
For those conditions where a specific treatment doesn't exist, oral medications can be tried to improve the symptoms of ataxia. Non-pharmacological therapies like the centre of pressure biofeedback, targeted physiotherapy for balance, speech therapy and non-invasive brain stimulation (transcranial direct current stimulation) have shown to improve balance in patients with ataxia.
What Is Botulinum Toxin?
Botulinum NeuroToxin (BoNT) is a naturally occurring protein made by the bacterium clostridium botulinum. When BoNT contaminates food, it can cause botulism: a severe and potentially deadly illness. In the last 40 years, however, researchers have transformed this poison into an effective and safe drug to treat many medical conditions, when used at the correct dosages.
How does it work?
During treatment, BoNT must be injected into a muscle or gland. Nerve endings take up the BoNT and it blocks the connection between the nerve and muscle or the nerve and gland. This causes the muscle to weaken or the gland to reduce saliva or sweating.
Patients currently have two types of BoNT treatments available: Types A and B. Depending on what country you live in, there may be a different option available:
The BoNT treatments may have different strengths and ability to spread in the tissue after injection. They generally work the same way and have the same effect on the muscle or gland. However, the drugs are not completely interchangeable. The doses differ for each drug, so doctors need to use the correct dosage for that toxin.
After an injection, it takes two to seven days to start to work. The drug reaches a full effect after about two to three weeks and then gradually wears off. BoNT injections need to be repeated approximately every three to six months due to its temporary effect. Injections are given no more than every 3 months to prevent the body from rejecting the treatment and forming antibody against BoNT.
What diseases can be treated with Botulinum Toxin?
Ophthalmologists first used BoNT as an alternative to surgery for treating eye misalignment known as strabismus. Neurologists then started using BoNT for patients with abnormal excessive muscle contractions from movement disorders, such as dystonia. For many conditions, there were no other treatments available. BoNT is effective for treating:
Is it safe? What are the side effects of BoNT?
Even though BoNT is a toxin, proper doses given in the correct locations are safe and effective. The most common side effect is weakness of the injected muscle. For example, eyelid drooping or double vision when injected around the eye. Other side effects may include pain, bruising or bleeding at the injection site. Very rarely, BoNT injections can cause generalized weakness or flu-like symptoms if given in very high dosage in multiple muscles of body. BoNT injections must be given by experienced, trained doctors with the guidance of electromyography (EMG) or ultrasonography (USG) when necessary.
What should one expect with BoNT treatment?
BoNT is a very effective drug, and a 50-90% improvement can be expected for at least 2 to 3 months. If the injections are not effective then one of the following may be considered: changing (increasing) the dose or the injection site.
What is Corticobasal Degeneration?
It is another type of atypical parkinsonism/Parkinson plus syndrome. It is a rare, progressive neurodegenerative disease, which was first identified in 1968. CBD is a complex disease with a wide variety of symptoms and signs. The disease typically starts between ages 60 and 70.
What are the common causes of ataxia?
The exact cause of CBD is not known. CBD causes an abnormal brain ageing process that progresses over time. Healthy people have a protein called tau in their brains, which is important for normal neuron function. But patients with CBD have an abnormal tau protein that accumulates in the brain, and damages nerve cells and other brain cells in certain areas. Researchers do not know why this tau protein is abnormal in CBD. CBD is not hereditary. It has not been linked to any environmental exposures.
What are the symptoms of Corticobasal degeneration?
Symptoms of CBD usually starts on one side of the body. These are
What are the types of CBD?
Several types of CBD have been identified according to the main clinical symptoms. CBD symptoms can overlap with other more common neurological diseases. That is why neurologists often use the term Corticobasal syndrome rather than CBD.
How is CBD diagnosed?
The diagnosis is based on medical history and neurological examination. Because signs and symptoms of CBD may be similar to other diseases, such as Parkinson’s disease, it can be difficult to diagnose in the early stages. Sometimes the diagnosis is only made by autopsy. Scans like magnetic resonance imaging (MRI) of brain are often useful. Imaging may rule out other diseases that may mimic CBD. Imaging may also find specific patterns of brain shrinkage, called atrophy. There are no blood tests which can diagnose the disease.
What is the treatment of CBD?
There are no treatment options found till date which can cure, slow down, or halt the progression of disease. However, some symptoms can sometimes be treated with medications such as
What is dystonia?
Dystonia is a movement disorder in which there is sustained or intermittent uncontrollable muscle contractions that result in either repetitive twisting movements or abnormal postures or both. These dystonic movements can be associated with tremors. Dystonia can affect one muscle, a group of muscles or entire body.
How is dystonia classified?
Dystonia is mainly classified based on body parts it affects.
What are the causes of dystonia?
Majority of cases of dystonia do not have a specific cause which are called idiopathic dystonia. It is believed to originate from dysfunction of or damage to basal ganglia (a part of brain) and its circuitry which control the body movements.
Idiopathic dystonia can be of sporadic origin or genetic origin. Some forms of genetic dystonia are inherited in autosomal dominant fashion in which only one parent who carries the defective gene is needed to pass the disorder to their child. Each child of affected parent has 50% chances of acquiring the defective gene and the disease. While others are inherited in autosomal recessive fashion in which both parents require to carry one defective gene which they pass on to their child. The symptoms may vary widely in severity among the different members of same family.
Apart from this, there are certain acquired (or secondary) dystonia which result from environmental or other insult to brain.
This damage can be due to
What are different types of dystonia?
According to the body part it affects, there are different types of dystonia such as:
What are the treatment options for dystonia?
There are three options for dystonia treatment:
What is essential tremor (ET)?
It is probably the most common movement disorder seen in clinical practice (also termed previously as benign essential tremor, familial tremor). It has a bimodal distribution of age at onset, with first peak in 2nd-3rd decade and another peak in 6th-7th decade. It commonly presents with tremulousness of both hands (can be more prominent in dominant hand). It is more prominent while keeping the hands outstretched and performing fine activities with hands such as holding a cup or spoon, eating, writing etc as compared to rest. These tremors can also be observed in head, jaw, tongue, legs or voice in certain patients. Stress, anxiety, and physical exertion can temporarily aggravate these tremors. In few cases, tremors are also associated with some other symptoms such as mild memory or hearing difficulty, balance difficulty while walking, and mild posturing of hands. In 40-50% of cases, it can be familial with multiple members affected with similar tremors in a single family. Familial forms of essential tremor often appear early in life. It is often confused with Parkinson’s disease due to similar manifestations in PD initially, but both are separate disorders. In PD, tremors are more prominent when hands are in resting/relaxed position, and are associated with other symptoms such as slowness of movements, stiffness of limb, postural instability etc.
What is the cause of ET?
The exact cause of essential tremor is still not known. However, researchers think essential tremor is accompanied by degeneration of certain areas of the brain (particularly cerebellum) that control the movement of body. This is an ongoing debate in the research field.
How can essential tremor be diagnosed?
It is usually diagnosed by clinical evaluation and neurological examination by your expert. The expert will also check other neurological findings such as impaired balance, speech abnormalities, or increased muscle stiffness. Certain blood or urine tests can rule out metabolic causes such as thyroid dysfunction and certain medications that can cause tremor. MRI brain is usually normal in patients with ET, but it helps to rule out other causes of tremors.
What is the treatment for essential tremor?
Although there is no cure for most forms of tremor, treatment options are available to help manage symptoms of ET. Oral medications are the first line of therapy and can effectively control tremors in most patients. Propranolol (Beta blockers) and primidone are the two most effective medications. Other drugs such as topiramate, benzodiazepines (clonazepam), and gabapentin can also be useful. Alcohol can also reduce the tremors in about 40-50% of cases. Botulinum toxin injection therapy is an alternative option in those patients who don’t tolerate medications or do not respond to maximally tolerated doses. It is well tolerated by most of patients and can lead to significant improvement in tremor and functional capacity. Deep brain stimulation (DBS) of bilateral thalamus (Vim) region is preferred in drug and botulinum toxin refractory cases. This is a brain surgery in which two electrodes are implanted in the brain and attached to a brain pacemaker (pulse generator) placed under the skin of the chest via extension wires.
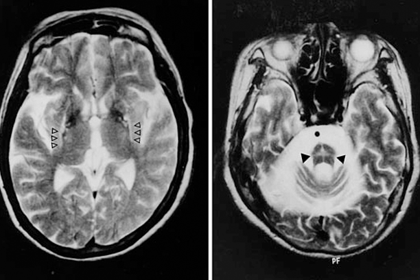
What is hereditary ataxia (HA)?
Hereditary ataxias (HA) include a wide variety of gradually progressive genetically inherited diseases where the main symptom is ataxia. Ataxia refers to uncoordinated, clumsy movements and walking problems with loss of balance. Changes in certain genes cause HA. In most cases, the disease affects more than one family member; however, sometimes there is no family history at all.
In HA, ataxia is usually not the only symptom. Other neurological signs may include:
How is it Inherited?
There are four main ways ataxia can be inherited:
What are some common hereditary ataxias?
How is it Diagnosed?
To diagnose hereditary ataxia, a doctor thoroughly reviews your symptoms. You can expect to:
The only way to get a definite diagnosis is through genetic testing from a blood or saliva sample. However, if the genetic test is negative, you may still have a genetic disease since only some genes are known and can be tested for. Genetic counselling may help you understand the genetic risk for you and your family members to develop HA and to help with family planning.
Is there a treatment for HA?
Some rare hereditary ataxias have disease-specific treatments. However, most ataxias have only symptomatic treatment. Patient’s quality of life can be improved with:
What is Huntington’s disease?
Huntington’s disease (HD) is a chronic, progressive neurodegenerative disease, which means the nerve cells in your brain break down over time. The disease typically starts between ages 30 and 50, but it can begin in younger age also. HD affects your:
What is the cause of Huntington’s disease?
HD is a hereditary condition which runs in generations. One inherits sets of genes, one gene from your mother and one from your father. It is caused by repeat expansion of part of a gene. This expansion causes increasing brain nerve cell loss prematurely. The more times the expansion repeats itself, the earlier HD begins. Genetic testing for this abnormal gene confirms the diagnosis. With HD, you only need to inherit the abnormal gene from one parent. If one parent has the abnormal gene, then each child has a 50% chance of inheriting HD. Sometimes the gene inheritance may not be obvious, like when parents die before their own disease began.
What are the symptoms of Huntington’s disease?
The most common symptom is abnormal involuntary dance like movements of entire body that one cannot control, called chorea. Other movement problems can also occur later such as dystonic posturing of limbs, tremors, slowness of daily activities, tics, myoclonus and trouble with speech and walking.
One may also experience other symptoms such as:
In the early years, some mild mental, emotional, and behavioural changes may appear before the more obvious physical symptoms related to body movement.
How can Huntington’s disease be diagnosed?
HD may be difficult to diagnose in early stages, particularly with absent or unknown family history. This is because symptoms are complex and vary from patient to patient. At first, symptoms like depression may be more obvious than the chorea. Once chorea is obvious, one can have an evaluation and genetic testing to get a diagnosis. Brain MRI shows shrinkage (atrophy) of certain areas of brain such as caudate nucleus and putamen. Genetic testing for HD confirms the diagnosis.
Is there a treatment for HD?
Currently, there is no treatment that can slow down or reverse the disease. HD is not curable currently, but there are some medications that can reduce some symptoms. These medications may help improve movement, depression, and abnormal behaviours. One needs to consult a neurologist for medications.
What should a patient with HD expect about his/her illness?
As the disease progresses, following problems gradually worsen over time:
Patients often feel frustrated when they realize they are gradually losing their physical and mental abilities. They can no longer do the common tasks they used to do previously.
In the last stages of the disease, patients still may understand the daily routine and recognize people. However, they become unable to look after themselves. Eventually, the disease may lead to food choking, pneumonia, or another illness that can end a patient’s life.
What is Multiple System Atrophy (MSA)?
Multiple system atrophy (MSA) is a rare neurodegenerative disorder that affects body movements and autonomic nervous system which controls blood pressure, urinary & sexual functions, and sweating. It is one type of Atypical Parkinsonism. Atypical Parkinsonism, also called Parkinson-plus syndrome, is when the patient has some of the main features of Parkinson’s disease (PD) such as slowness of movement, muscle stiffness and/or shaking/ tremor, as well as some other features. Patients with slowness, muscle stiffness or shaking may resemble patients with PD and are called MSA-P. Patients who have more difficulty with balance and coordination are called MSA-C.
What are the types of MSA?
There are three types of MSA:
Who gets MSA?
MSA affects men and women equally. MSA usually begins between the age of 50 and 60. It affects around three to four people in every 100,000.
What are the symptoms of MSA?
Apart from parkinsonian symptoms as discussed above (slowness of movement, muscle stiffness and/or shaking/ tremor), patients may experience:
What exactly causes MSA?
The exact cause of MSA is not known. It is associated with accumulation of a protein in the brain called alpha-synuclein that clumps up in different brain cell types and can be seen in a brain autopsy. The cause of this clumping is unknown. MSA has been described in a few families, but is currently not considered a hereditary disease.
How can MSA be diagnosed?
No single test can diagnose MSA. MSA is usually diagnosed based on clinical symptoms and examination findings. Tests may include MRI brain, uroflowmetry tests, and autonomic function testing (such as testing for blood pressure changes, including the tilt-table test). The diagnostic test for confirmation of MSA is autopsy of brain tissue.
What is the treatment of MSA?
Currently there is no treatment which can cure, slow down or halt the progression of MSA. However, there are some medications and physiotherapy which may help in treating the symptoms.
Patients also benefit from physiotherapy, speech therapy, and occupational therapy.
What should one expect living with MSA?
Over time, symptoms increase and treatment options become less effective. Patients usually experiences increasing difficulty in activity of daily living, swallowing solid food or liquids, and controlling bladder-bowels.
In advanced stages, bladder symptoms increases the risk of urinary tract infection, and swallowing difficulty increases the risk of aspiration pneumonia.
What is Parkinson's Disease?
Parkinson’s disease is a progressive neurological disorder which leads to shaking (tremor), stiffness, slowness of daily activities, and difficulty with walking, balance, and coordination.
Who can develop Parkinson’s disease?
What happens in PD?

Parkinson's disease progression

Chronology of clinical symptoms in Parkinson’s disease. Schematic representation of the diagnosis (even 10 to 20 years before the onset of the disease) and motor/non-motor symptoms in early and advanced Parkinson’s disease, with clinical and other iatrogenic symptoms.
What are the symptoms of Parkinson’s disease?
The symptoms of PD can be broadly classified as:
What are the stages of Parkinson’s disease?
What is the “ON-OFF” phenomenon?
As PD progresses, patients may experience “ON-OFF” periods.
“OFF” periods are times when dopamine levels are low in the brain, and when the medicine is wearing off or not felt when it should be, presenting as motor or non-motor fluctuations. While “ON” periods are those when the patient doesn’t experience any motor (or non-motor) fluctuations and the effects of medications are good.

How can Parkinson’s disease be diagnosed?
There is no single test that can diagnose your Parkinson’s disease. The diagnosis is mainly done by history and clinical examination of typical symptoms (described above) by your Parkinson’s disease and Movement Disorders Specialist. In the early stage of the disease, it may be difficult to differentiate between Parkinson’s disease and atypical parkinsonian syndromes due to mild and overlapping symptoms. As the symptoms gradually progress, the diagnosis becomes more obvious. Brain MRI often helps in differentiating PD from atypical parkinsonism.
What are the treatment options available for PD?
There are multiple medications available for Parkinson’s disease. Judicious use of these medications in a right combination can improve various symptoms. In selected advanced cases, Deep Brain Stimulation (DBS) surgery is an alternative form of treatment, which can improve medication refractory symptoms and quality of life.
What is Progressive Supranuclear palsy (PSP)?
Progressive supranuclear palsy (PSP), also known as Steele-Richardson-Olszewski syndrome, is a type of atypical parkinsonian or Parkinson plus syndrome in which patients have features of parkinsonism such as slowness, stiffness, and tremors plus other features such as early balance problems/recurrent falls, early cognitive decline, impaired bowel/bladder control, and poor response to dopaminergic medications.
How common is PSP?
It is the most common form of atypical parkinsonism but still it is only about one tenth common as Parkinson’s disease. Usually, disease starts in the 60s and it affects males and females equally.
What is the cause of PSP?
The exact cause of PSP is not known. It is associated with accumulation of a protein in the brain called tau that clumps up in all cell types and can be seen in a brain autopsy. PSP is not usually considered hereditary. PSP doesn’t spread from person to person, and it has not been clearly associated with any environmental exposures.
What are the typical clinical features of PSP?
Apart from parkinsonian features such as tremors, stiffness, and slowness, patients with PSP also manifest
Symptoms vary from patient to patient. In some patients, freezing during walking and slowness are the main features. In other forms, there is early tremor and features that look more like PD. In some patients, balance problems with recurrent falls are the prominent issues.
How is PSP diagnosed?
PSP is diagnosed based on medical history and neurological examination. No single blood or other test can diagnose it. In the early stage, features of PSP may mimic that of Parkinson’s disease, therefore making clinical diagnosis difficult. A brain MRI can help in differentiating both disease as it shows atrophy of midbrain and frontal lobe/s of brain. The only definite way to diagnose PSP is by doing an autopsy and looking at the brain tissue.
What is the treatment of PSP?
There are no treatment options found till date which can cure, slow down, or halt the progression of disease. Early in the disease, some medications used for treating PD (eg. Levodopa, amantadine) may help improve the symptoms of PSP. However, with the disease progression, response to these medications decreases. Acetylcholinesterase inhibitors help in improving memory symptoms. Botulinum toxin injections may help treat involuntary eyelid closures. There are also medications that may help emotional changes, such as uncontrollable crying or laughter. Antidepressants may help to treat depression and anxiety.
Speech therapists may help to manage speech and swallowing difficulties that could lead to malnutrition and pneumonia. A “talking keyboard” for your computer can also speak for one.
Physical therapy may help with walking and maintaining balance as well as preventing falls. Certain eye glasses with mirror-prism lenses may help with vision. Overall, long-term care planning may be needed as the disease progresses. Occupational therapy may help patients continue to do daily living activities.
In the early years, some mild mental, emotional, and behavioural changes may appear before the more obvious physical symptoms related to body movement.
How can Huntington’s disease be diagnosed?
HD may be difficult to diagnose in early stages, particularly with absent or unknown family history. This is because symptoms are complex and vary from patient to patient. At first, symptoms like depression may be more obvious than the chorea. Once chorea is obvious, one can have an evaluation and genetic testing to get a diagnosis. Brain MRI shows shrinkage (atrophy) of certain areas of brain such as caudate nucleus and putamen. Genetic testing for HD confirms the diagnosis.
Is there a treatment for HD?
Currently, there is no treatment that can slow down or reverse the disease. HD is not curable currently, but there are some medications that can reduce some symptoms. These medications may help improve movement, depression, and abnormal behaviours. One needs to consult a neurologist for medications.
What should a patient with HD expect about his/her illness?
As the disease progresses, following problems gradually worsen over time:
Patients often feel frustrated when they realize they are gradually losing their physical and mental abilities. They can no longer do the common tasks they used to do previously.
In the last stages of the disease, patients still may understand the daily routine and recognize people. However, they become unable to look after themselves. Eventually, the disease may lead to food choking, pneumonia, or another illness that can end a patient’s life.
What is Restless Legs Syndrome?
Restless legs syndrome (RLS) is a neurological condition that causes an irresistible urge to continuously move the legs. It is commonly described by patients as a sense of stinging, burning, creeping and/or painful tension deep within their legs. RLS symptoms worsen in the evening and night time, which may lead to sleep disturbances. Symptoms can also occur during the day, especially after sitting for a long time. RLS symptoms often starts on one side, but may shift from side to side or affect both sides at the same time.
How common is RLS?
Between 5-10% of the population is affected. RLS is even more common in the elderly.
What actually causes RLS?
Restless leg syndrome may be either primary or secondary (also called symptomatic). Most cases are primary. Primary RLS has no obvious cause, but it often runs in families. There is some evidence of altered metabolism of dopamine and/or iron. Secondary forms of RLS are caused by an underlying health condition. Some of those conditions include iron deficiency, kidney failure, Parkinson’s disease, diabetes mellitus and some neuropathies.
RLS symptoms may also occur during pregnancy, which then disappear after giving birth. Some medications may also cause secondary RLS, including:
How is RLS diagnosed?
RLS is a clinical diagnosis. No single laboratory or imaging test can diagnose it. The diagnosis is based on the presence of the four observations below:
What is the treatment of RLS?
There is no curative treatment for RLS, but there are effective treatment options available. RLS can be secondary to iron deficiency, kidney failure, Parkinson’s disease, diabetes mellitus, some neuropathies and certain drugs. In these cases, treatment is then focused on addressing the underlying problem. For example, if a patient has low iron storage levels, iron replacement may help control RLS symptoms.
The following medications may also help the symptoms of RLS:
Medications are usually taken around dinner time, usually 1-2 hours before the symptoms begin. They may also be taken earlier in the day if needed.
Is RLS related to Parkinson’s disease or other movement disorders?
Although both these disorders may be treated with the same medications, they are very different diseases. Some PD patients may also have RLS symptoms, but having RLS does not increase your risk of developing PD. Most patients with RLS have leg movements while they sleep. These movements happen at regular intervals and can involve the big toe, foot, or the entire leg. Movements of this type are called periodic limb movements of sleep (PLMS).
What can patients with RLS expect?
RLS symptoms wax and wane at different time periods. They may even disappear completely. However, symptoms may persist and require lifelong use of medication. This is particularly true if there is a family history of RLS or if symptoms start at an advanced age.
What can RLS patients do to help ease the symptoms?
Patients with RLS can do the following to help ease symptoms
What are tics?
Tics are movements that patients cannot always control. There is often an urge or need to do the movement and then a relief after the movement. Movements sometime can be suppressed briefly.
Tics are usually:
Tics are of two types:
They can be further classified into simple or complex tics. Simple tics appear suddenly and usually last for weeks or months. The most common simple motor tics include: repeated eye blinking, raising the eyebrows, shoulder shrugging, turning or jerking the head and neck. Common simple vocal tics include: throat clearing, coughing, sniffing, and yawning. Complex motor tics include more purposeful movements such as: grimacing, tapping, walking in a specific pattern or circling, jumping, kicking, or punching. Complex vocal tics include: making multiple sounds; repeating syllables, words, or phrases (echolalia); rarely saying socially taboo words or phrases (coprolalia)
What is Tourette syndrome?
Tourette syndrome (TS), also known as Gilles de la Tourette syndrome, is a disorder that usually begins between the ages of four and six years and is most severe between ages 10 to 12. By definition, the tics must start before the age of 18. TS is much more common in males than females. Patients with TS experience a combination of motor and vocal tics, either simple or complex, and they must last for at least a year. Behavioural issues, including anxiety, attention deficit hyperactivity disorder (ADHD), and obsessive-compulsive behaviour, may occur.
What causes tics and TS?
The cause of tics and TS is unknown. Tics and TS are often hereditary, meaning passed along in a family.
Do all patients with tics have Tourette syndrome?
Not all people with tics have Tourette syndrome. A diagnosis of Tourette syndrome requires having more than one tic, including a vocal tic, for more than one year. While tics are common, one out of five children may have tics at some point, TS is much less common.
Is There a Treatment for tics and Tourette syndrome?
Often no treatment for tics is needed. Treatment of motor tics, vocal tics, and TS depend on how the tics affect patients and whether they have any social or emotional impact. If the tics do not cause much distress or interfere with activities, a patient may only need good support, education, and reassurance. Educating people around the patient can increase understanding and reduce social stigma. This may include input from doctors, psychologists, and social workers. Family members and teachers must learn that tics are involuntary, so they can understand the diagnosis and avoid lowering the child’s self-esteem.
Patients should discuss about treatment with a doctor if their tics:
Comprehensive Behavioural Intervention for Tics (CBIT) is one of the therapies used to treat TS. CBIT focuses on awareness training and developing a competing response to the tic urge.
If behaviour therapy alone is not successful, some medications may be helpful. Medication may cause unwanted side effects, so patients need to be in close communication with their doctor. The medications include: clonidine and guanfacine, antipsychotic medications (although side effects must be considered), tetrabenazine and clonazepam or other anxiety drugs (especially if the patient has anxiety). Additionally, for patients who do not respond to medications, deep brain stimulation surgery (DBS) may be considered.
Why Is Tourette syndrome considered a neuropsychiatric disorder?
Neuropsychiatric disorders are neurologic disorders that affect behaviour. More than 50% of TS patients have behavioural symptoms such as Attention Deficit/Hyperactivity Disorder (ADHD) and Obsessive-Compulsive disorder (OCD). Patients may also experience: depression, anxiety, impulsive behaviour, personality disorders, deliberate self-harm, and sleep disorders. Treatment for these disorders is available.
What can patients expect as they live with tics or TS?
Tics are often temporary. Tics and TS tend to disappear as patients get older, and in one third cases, disappear completely in adult life.
What is Wilson’s disease?
Wilson’s disease is an inherited disease caused by a defect in the gene responsible for copper transport in our liver. It causes abnormally excessive accumulation of copper in the brain, liver, and other organs.
How does Wilson’s disease first appear and what are the common symptoms?
Some of the symptoms of Wilson’s disease may start in childhood or early adulthood. These neurological symptoms often include:
Liver problems are also common in Wilson’s disease, as well as low blood count (anaemia), kidney problems, or heart problems. It is one of the most common causes of liver failure in children.
What causes Wilson’s disease?
Wilson’s disease is caused by the mutation of a specific gene that makes a protein needed to removes excess copper from the body. This causes copper to accumulate in the body, especially the brain, liver and eyes. The damage caused by the excess copper produces the symptoms of Wilson’s disease.
How can Wilson’s disease be diagnosed?
It is important for physicians to carefully look for symptoms of Wilson’s disease, as it can be easily missed in the initial stage. It is mainly diagnosed by blood and urine testing.
Ceruloplasmin is a protein made in the liver that stores and carries copper through the body. A blood test that measures that protein can be used to diagnose Wilson’s disease. But, because that test can sometimes miss Wilson’s disease, a urine test that measures copper levels is recommended. This test involves collecting urine for an entire 24-hour period. Having this urine test done properly is very important to diagnose Wilson’s disease.
There are other tests often associated with a Wilson’s disease diagnosis, including:
Is Wilson’s disease treatable? What are the available treatment options?
Yes. Wilson’s disease is potentially treatable neurological condition. Early diagnosis and treatment are extremely important to prevent irreversible damage to the brain and liver.
There are several types of treatment available for Wilson’s disease. These include:
Are any diet modifications necessary for this illness?
Many common foods include copper and most people get more than they need. If you have Wilson’s disease, it is best to avoid eating few copper-rich foods, including:
Should other family members be tested?
Because Wilson’s disease is a genetic disorder, family members are at risk. It is an autosomal recessive condition. This means that two copies of the abnormal gene are needed to manifest the disease; one from the mother and one from the father. The mother and father are usually asymptomatic, since they have one normal copy. However, brothers and sisters may be at risk. If anybody is diagnosed with Wilson’s disease and have siblings, they should be screened for the disease. In rare instances, other family members may also need to be screened. Be sure to ask your doctor or a genetics counsellor if your family members should be screened.